Cystic Hygroma Radiology
They are congenital malformations of lymphatic system.
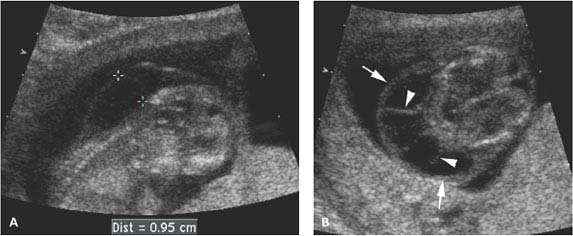
Cystic hygroma radiology. Cystic hygroma also known as cystic or nuchal lymphangioma refers to the cystic variety of congenital lymphangioma which most commonly occur in the cervicofacial. Subdural hygromas refer to the accumulation of fluid in the subdural space. In many cases it is considered an epiphenomenon of head injury when it is called a. A cystic hygroma is an abnormal growth that usually appears on a babys neck or head.
It consists of one or more cysts and tends to grow larger over time. Cystic hygroma is an uncommon benign cyst caused by a congenital malformation of the lymphatic vessels. They mainly occur in the head and. Three cases of cystic hygroma in adults are presented.
Cystic hygroma is a type of lymphangioma with large dilated cystic lymph spaces which usually occur in the neck. The sonographic findings in eight children with surgically proved cystic hygroma were reviewed and correlated with the pathologic specimens. Six tumors occurred in. Your doctor will order an amniocentesis if they notice a cystic hygroma during an ultrasound.
An amniocentesis can check for genetic abnormalities in your fetus. Hygroma in greek means water containing tumour.












































